THE HUMAN PROTEIN ATLAS BLOG

Elevated expression of CD93 in brain tumor

2015-11-03
Brain cancer Cancer CD93 Glioblastoma Tissue Atlas


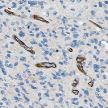
CD93 expression in pathological blood vessels in a case of high-grade malignant glioma

Elevated expression of the C-type lectin CD93 in the glioblastoma vasculature regulates cytoskeletal rearrangements that enhance vessel function and reduce host survival

CD93 encodes for a cell-surface glycoprotein and is expressed in myeloid cells and endothelial cells. CD93 has recently been identified as an important gene in primary tumor angiogenesis and the corresponding protein has been shown to have proangiogenic properties. In the present study the role of CD93 in malignant glioma was analyzed. The effect on glioblastoma vessels and tumor growth was studied. The results show that CD93 regulates angiogenesis in glioma by modulating cell-cell and cell-matrix adhesion of endothelial cells. In a cohort comprising 235 glioma patients it was further shown that expression of CD93 in tumor vessels correlated with poor survival. These findings suggest that CD93 could have a potential as a therapeutic target for anti-angiogenic treatment and also be utilized as a biomarker to determine the progression of malignant glioma.

Read the more about the analysis here.



Blog archive

2025
2024
2023
2022
2021
2020
2019
2018
2017 (57)
2016 (76)
2015 (13)