THE HUMAN PROTEIN ATLAS BLOG

Plenary lecture at Clinical Proteomics, Postgenome Medicine, Moscow, Russia.

2017-10-27
Conference Human Protein Atlas Omics Pathology Precision medicine Tissue Atlas

Dr Cecilia Lindskog, presents a plenary lecture on October 31 entitled "The Human Protein Atlas - implications for human biology and precision medicine" on the Clinical Proteomics, Postgenome Medicine conference in Moscow, Russia. Dr Lindskog is highlighted as one of the key speakers of the conference.

The 300+ international participants at the conference include medical advisors, scientists and business representatives to bridge translation of research findings to clinical use. The conference opens the fields of "omics" science (genomics, transcriptomics, proteomics, metabolomics) to clinical practioners...Read more


Human Protein Atlas presentations at the 16th HUPO World Congress

2017-09-14
Affinity proteomics Cell Atlas Conference Human Protein Atlas Immunofluorescence microscopy Immunohistochemistry Sub-cellular structures Tissue Atlas

Next week on the 17th to 21th of September, the human proteome organization (HUPO), is hosting the 16th HUPO World Congress in Dublin, Ireland. Several Human Protein Atlas-associated researchers will attend the meeting and represent the project in various sessions, including plenary and invited lectures, oral presentations and poster sessions.

HUPO is an international scientific organization representing and promoting proteomics through international cooperation and collaborations by fostering the development of new technologies, techniques and training...Read more


Crystallins are proteins expressed in the human eye with a long life

2017-07-22
Eye Image of the week Immunocytochemistry Immunohistochemistry Lens proteins Pathology tissue Tissue Atlas

The beta-crystallin B2 protein, encoded by the CRYBB2 gene, is a very important structural component of the human eye lens. Immunohistochemical staining of CRYBB2 protein shows specific expression in the lens.

Previously we have highlighted proteins expressed in the human neural retina. This week's article emphasizes the cellular structure and molecular dynamics of the lens.

The main function of the lens is to focus light on the retina. The passage of light through the cornea, lens and vitreous all the way to the retinal layer of the eye is only possible due to transparency of the tissue. Although the lens is very protein-rich, light absorption and light scattering in the lens is minimal.

The lens comprises non-diving lens cells which are mainly composed of ordered proteins called crystallins...Read more


Expression of genes in mammary glands

2017-06-12
Immunohistochemistry tissue Tissue Atlas

In this week’s post, we will highlight proteins specifically expressed in a tissue with extensive plasticity - the female mammary glands. The evolutionary origin of mammary and milk gland-like structures is believed to date all the way back to 300 million years ago, and glandular secretory apocrine-like units in the skin of synapsids, an ancestor to mammals.

The mammary gland develops from the epidermis and is mainly composed of branched columnar and cuboidal epithelial cells that form distinct lobes...Read more


Pituitary gland links the nervous and the endocrine systems in the human body

2017-05-05
Brain Image of the week Immunohistochemistry Pituitary gland tissue Tissue Atlas

The pituitary gland plays a crucial role in human physiology, and together with the hypothalamus this highly conserved and elegant system form a link between the nervous and endocrine system, by controlling the functions of the thyroid, adrenal glands, and the gonads, and also regulating growth, lactation, and water preservation.

This gland, also called hypophysis, consists of two separate lobes with dual embryonic origin; the anterior (adeno) pituitary gland originates from the oral cavity, and the posterior (neural) pituitary gland develops from the neural plate...Read more


World Malaria Day April 25

2017-04-25
Malaria Tissue Atlas

SLC4A1 in kidney.

This blog post is in honor of World Malaria Day

When infected mosquitos bite people they transmit parasites that causes malaria. Symptoms of malaria include fever and flu-like illness, and if left untreated the illness will cause anemia (loss of red blood cells) and eventually death.

According to WHO, malaria caused 429 000 deaths in 2015, and 70% of the deaths are children under the age of 5. Luckily, mortality rates are falling, and since 2010 the mortality has dropped with almost 1/3. Early diagnosis and treatment of malaria reduces deaths and prevents transmission. There are antimalaria drugs available, but currently, there is no availabe malaria vaccine...Read more


Tissue Atlas: microscopy and annotation

2017-03-28
Annotation Immunocytochemistry Microscopy Tissue Atlas

Borbala Katona at the microscope

Today, we are back in the Tissue Atlas facilities at the Rudbeck lab in Uppsala. Borbala Katona and Maria Aronsson are research engineers in the group working with microscopy and annotation of stained tissues, which we described last week.

Borbala Katona has a bachelors degree in biomedicine and a masters degree in infectious medicine and has been working within the Human Protein Atlas since 2014.

Maria Aronsson has a masters degree in medical biology from Linköping University and joined the Human Protein Atlas in 2012...Read more


The Retina and the proteins expressed within

2017-03-24
Immunohistochemistry tissue Tissue Atlas

Immunohistochemical staining of human neural retina. The brown color represents the presence of proteins found in rods and cones. A, GNGT1 is a rod protein and B, RP1 is expressed in cone cells.

More than a century ago, Piccolino M. Cajal published his groundbreaking work on the retina. At that time, Cajal was eager to confirm previous observations he had made in other neural tissues, and he considered the retina very suitable to study due to its simple organization and structure.

The human retina is a multilayered neural tissue that originates from the developing brain, and populates the innermost layer of the eye, called the inner photosensitive layer. The retina is composed of polarized photosensitive neurons called rods and cones...Read more


Tissue Atlas: production and staining

2017-03-21
Antibody Immunocytochemistry Tissue Atlas

Today, we start a "mini-series" about our Tissue Atlas here at the blog. Join us on a tour through the lab, meet some of the people working there, and see some really nice images produced by the scientists.

All the work on our Tissue Atlas is done at our Uppsala site, with Cecilia Lindskog as site director. You can learn all about her in one of our previous blog posts.

First we meet research engineer IngMarie Olsson who is group leader for the Tissue Microarray Production, Immunohistochemistry, and Scanning-group...Read more


Tissue Image of the Month - Hairs and follicles

2017-02-17
Follicles Hair Image of the week Tissue Atlas

A hair and hair follicle stained with H&E showing the different layers: a) external root sheath, b) internal root sheath, c) cuticle layer, d) medulla and e) cortex.

Hello everyone!

Tissue Atlas group is pleased to announce the launch of the Tissue Image of the Month. Previously, you have had the joy of experiencing interesting images of cellular organelles and proteins described by the Cell Atlas. Now we also hope that you will follow the blog posts and pictures of stained tissues with the same excitement and curiosity, as we dive into the world of histology, immunohistochemistry, cells and tissues.

First up - hairs and hair follicles.

Hair fibers consist of cells called trichocytes. The fibers vary in size, disposition and color due to factors such as age, sex, ethnicity and region of the body...Read more


Expert review by Tissue Atlas director

2016-06-21
Immunocytochemistry Review RNA-seq Tissue Atlas

Cecilia Lindskog, site director of the Tissue Atlas

In January 2015, the Tissue-based map of the human proteome by Uhlén et al was published. According to Google Scholar, the paper already has more than 400 citations. In a recent editorial by Cecilia Lindskog, the potential utility of the Human Protein Atlas and the Tissue-based map is reviewed.

Cecilia Lindskog is site director of the Tissue Atlas, and you can read more about her and the Tissue Atlas in this blog post from May this year...Read more


Site director with a fascination for patterns

2016-05-16
Human Protein Atlas Immunocytochemistry Interview Microarray Proteomics RNA-seq Tissue Atlas

Cecilia Lindskog, site director of the Tissue Atlas

Time has come for the second interview with a researcher within the Human Protein Atlas project. Today we meet Cecilia Lindskog, site director of the Tissue Atlas.

– I have a Master of Science in Biomedicine and a Doctor of Philosophy in pathology from the Faculty of Medicine, Uppsala University. I joined the Human Protein Atlas project in 2006, and also have industry experience in the biotechnology industry, from Oncomark Ltd, Dublin, Ireland.

Cecilia Lindskog´s main research interests have always been understanding the biology and functions of different organs, and the underlying mechanisms leading to cancer and other diseases...Read more


Aquaporin 9 expression in human tissue

2016-05-10
Hepatocellular Carcinoma Human Protein Atlas Liver Tissue Atlas

Protein expression of aquaporin 9 in normal tissues

In a very recent paper in Journal of Histochemistry and Cytochemistry , with researchers from the Human Protein Atlas, it is shown that the expression of aquaporin 9 is limited in normal tissues, and high membranous expression is observed only in hepatocytes.

Aquaporin 9 is known to facilitate hepatocyte glycerol uptake. Murine aquaporin 9 protein expression has been verified in liver, skin, epididymis, epidermis and neuronal cells using knockout mice.

One goal of the current study was to systematically explore the distribution of aquaporin 9 expression in humans...Read more


Analysis of 32 human organs and tissues

2016-04-20
Brain Human Protein Atlas Testis Tissue Atlas

A network plot of the tissue enriched (red) and group enriched (orange) genes

In the Human Protein Atlas, there are 32 human organs and tissues analyzed. 2489 of the genes have significantly higher expression in one tissue compared to all other tissue types. Analysis show that testis is the organ with the largest number of tissue-enriched genes, with 1057 genes classified as testis enriched. The specific events and alterations of cell structure during spermatogenesis, and the fact that sperm has the ability to survive outside the male body may explain why testis has the largest number of enriched genes.

The organ with the second highest number of enriched genes is the brain with 381 enriched genes...Read more


Release of Human protein Atlas version 15

2016-04-11
HPA15 Release RNA Tissue Atlas Transcriptome

RNA and protein expression overview

Today, a new version, number 15, of The Human Protein Atlas is launched that includes extensive transcriptomics data and a new display view to allow comparisons of human tissue profiles on both the RNA and protein level. In this new version it is possible to do comparisons of primary data from several sources, including external efforts such as the GTEx dataset generated from the Broad Institute in Boston, US.

The GTEx dataset includes more than 1600 postmortem samples from mostly overlapping, but in some cases unique, tissues compared to the Human Protein Atlas consortium...Read more


The urinary bladder proteome defined

2016-04-05
Proteome Tissue Atlas Transcriptomics Urinary bladder

Immunohistochemistry-based protein profiling of elevated genes in urinary bladder that are expressed in umbrella cells.

To understand the molecular functions of the urinary bladder, researchers including scientists from The Human Protein Atlas project have recently defined the expression of elevated genes in the bladder.

The main function of the urinary bladder is to store the urine made by the kidneys, allowing urination voluntarily. The urothelium also plays an important role in preventing rupture of urine storage and leakage of toxic urinary substances into the blood...Read more


Potential new tool for measuring beta cell mass

2016-03-29
Beta cells Diabetes Pancreas Proteome Tissue Atlas

Immunohistochemical staining of human pancreas shows strong cytoplasmic positivity in islet cells.

In a recent study, scientists including members of The Human Protein Atlas project have identified the beta cell specific protein GPR44 as a potentially novel tool for measuring beta cell mass in vivo, using radiolabeled PET ligands targeting GPR44.

The pancreatic beta cell is responsible for producing insulin and beta cell loss is one of the causes underlying diabetes. Blood biomarkers to measure beta cell function exist, but there is a lack of good tools for measuring the beta cell mass inside the body.

In this study, the ligand targeting GPR44 was compared to a ligand targeting the established beta cell marker VMAT2, and the performance was evaluated...Read more


The uterine endometrium-specific proteome defined

2016-03-22
Endometrium Proteome Tissue Atlas

In a recent study by co-workers of The Human Protein Atlas project over 100 genes with elevated expression pattern in the normal endometrium was found. A majority of these genes are well-known and have been extensively characterized. However, the list of endometrium-specific genes also includes uncharacterized genes, providing starting points for further studies of their role in normal homeostasis and diseases affecting the endometrium.

The uterus contains the endometrial mucosa which is the site for embryo implantation...Read more


The human gastrointestinal tract proteome

2016-03-08
Gastrointestinal Tract Proteome Tissue Atlas

The gastrointestinal tract (GIT) consists of different organs with many shared functions and characteristics, but also distinct differences.

The human gastrointestinal tract-specific transcriptome and proteome as defined by RNA sequencing and antibody-based profiling

In a recent study by scientists from the Human Protein Atlas project and colleagues, a genome-wide transcriptomics analysis combined with immunohistochemistry-based protein profiling was performed to describe the gene and protein expression patterns that define the human gastrointestinal tract (GIT).

The GIT organs (stomach, duodenum, jejunum/ileum and colon) were compared to gene expression levels in 23 other normal human tissues...Read more


Biomarker for prognosis in endometrial carcinoma

2016-03-01
ASRGL1 Cancer Endometrial Carcinoma Microarray Tissue Atlas

Reduced expression of ASRGL1 was significantly associated with poor prognosis and reduced disease-specific survival.

Loss of ASRGL1 expression is an independent biomarker for disease-specific survival in endometrioid endometrial carcinoma

The ASRGL1 protein is a novel, powerful, and independent biomarker for prognosis in endometrial carcinoma.

In a recent study by scientists from the Human Protein Atlas project and collaborators at the University of Bergen and University of Turku, the l-asparaginase (ASRGL1) protein was identified as an endometrial carcinoma biomarker candidate by searches in the HPA-database.

ASRGL1 expression was immunohistochemically evaluated on two large independent endometrial carcinoma cohorts using an extensively validated antibody...Read more


The human skin proteome

2016-02-23
Proteome Skin Tissue Atlas

The human skin-specific genes defined by transcriptomics and antibody-based profiling

Normal skin is consists mainly of epidermal cells in different phases of de-differentiation (keratinization) organized in several distinct layers with different appearance, functions, and molecular signatures. To characterize the skin-specific genes and the landscape of gene and protein expression in normal human skin in different layers and stages of differentiation, scientists from the Human Protein Atlas project have combined immunohistochemistry-based protein profiling and genome-wide deep sequencing of mRNA to compare skin with other normal tissue types...Read more


The human prostate proteome

2016-02-09
Cancer Prostate Proteome Tissue Atlas

The definition of the prostate specific proteome provides a starting point for further studies exploring the molecular repertoire of the prostate.

Novel biomarkers for prostate cancer found while defining the prostate specific transcriptome and proteomeTo better understand the function of the prostate and diseases associated with it, it is important to explore the molecular constituents that make up the prostate gland.

In a recent study by scientists from the Human Protein Atlas project and colleagues both gene and protein expression profiles were investigated in prostate tissue and compared to 26 other human tissues. The aim was to identify potential prostate specific biomarkers for potential clinical use...Read more


A prognosis based classification of uterin cancer

2015-12-01
Cancer Microarray Tissue Atlas Undifferentiated uterine sarcoma

The ovaries, fallopian tubes, and uterus

A prognosis based classification of undifferentiated uterine sarcomas: Identification of mitotic index, hormone receptors and YWHAE-FAM22 translocation status as predictors of survival

Undifferentiated uterine sarcomas (UUS) are rare tumors with a heterologous biology and a poor prognosis.

In a recent study by scientists from the Human Protein Atlas project and colleagues, the relevance of clinicopathology, mitotic index, translocation status (YWHAE-FAM22), and a number of biomarker candidates were examined for correlation with the prognosis of these tumors. The protein biomarkers P53, P16, Ki-67, Cyclin-D1, ER, PR, and ANLN were evaluated by immunohistochemistry...Read more


The human cardiac and skeletal muscle proteomes

2015-11-24
Heart Proteome Tissue Atlas

The human cardiac and skeletal muscle proteomes defined by transcriptomics and antibody-based profiling

To understand cardiac and skeletal muscle function, it is important to define and explore their molecular constituents to identify similarities and differences in gene expression patterns between these different striated muscle tissues. In an effort driven by scientists from the Human Protein Atlas and colleagues, the genes and proteins with elevated expression in cardiac and skeletal muscle in relation to all other major human tissues and organs were investigate using a global transcriptomics analysis complemented with antibody-based profiling...Read more


Prognostic impact of COX-2 in lung cancer

2015-11-17
Cancer COX-2 Lung cancer Microarray Tissue Atlas

COX-2 expression in stroma

In a study performed by scientists at Uppsala University, in collaboration with Gothenburg University and the Human Protein Atlas project, the expression of cyclooxygenase-2 (COX-2) was evaluated in patients with non-small cell lung cancer (NSCLC).

To clarify previous inconsistences concerning the prognostic impact of COX-2 expression in NSCLC, the association between COX-2 transcript levels (encoded by the gene PTGS2) and overall survival in nine publicly available gene expression microarray data sets were evaluated as well as the in situ protein expression of COX-2 in tumor and stromal cells in two independent NSCLC cohorts...Read more


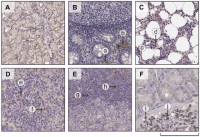
Elevated expression of CD93 in brain tumor

2015-11-03
Brain cancer Cancer CD93 Glioblastoma Tissue Atlas

CD93 expression in pathological blood vessels in a case of high-grade malignant glioma

Elevated expression of the C-type lectin CD93 in the glioblastoma vasculature regulates cytoskeletal rearrangements that enhance vessel function and reduce host survival

CD93 encodes for a cell-surface glycoprotein and is expressed in myeloid cells and endothelial cells. CD93 has recently been identified as an important gene in primary tumor angiogenesis and the corresponding protein has been shown to have proangiogenic properties. In the present study the role of CD93 in malignant glioma was analyzed. The effect on glioblastoma vessels and tumor growth was studied...Read more


The human brain proteome

2015-10-27
Brain Proteome Tissue Atlas

The mammalian brain is a complex organ composed of many specialized cells, as well as specialized and discretely localized proteins. In a recent study by scientists from the Human Protein Atlas and colleagues, transcriptomics and protein expression data was used to analyze brain-enriched genes from the frontal cortex. Based on transcriptomics analysis of altogether 27 tissues, it was estimated that approximately 3% of all protein coding genes and 13% of the long non-coding genes expressed in the human brain are enriched (having at least five times higher expression levels in brain as compared to any of the other analyzed tissues)...Read more


The building blocks of life

2015-10-20
HPA13 Science Tissue Atlas

All major human tissues and organs analyzed for protein expression.

Tissue-based map of the human proteomeThe effort to map the human proteome gives new insights on human health and disease.

The Human Protein Atlas, a large-scale multidisciplinary project supported by the Knut and Alice Wallenberg foundation in Sweden, is mapping all human proteins to their location in the body. The project, which was initiated a decade ago, has engaged researchers from many different disciplines and to date annotated over 13 million images showing the localization of our proteins in the human body on a cellular and sub-cellular level. All images and data are publicly available at the web portal Human Protein Atlas...Read more


Blog archive

2026
2025
2024
2023
2022
2021
2020
2019
2018
2017 (57)
2016 (76)
2015 (13)