THE HUMAN PROTEIN ATLAS BLOG

ASCB/EMBO meeting starts on the 2 December

2017-11-29
Cell Atlas Human Protein Atlas

The American Society for Cell Biology (ASCB) and the European Molecular Biology Organization (EMBO) jointly organize the first international conference on cell biology of brain. The ASCB/EMBO meeting takes place in Philadelphia on the 2-4 of December 2017.

The conference brings together a program covering presentations from molecular structure and function analysis to signalling pathways, immunity and cellular interplay in organoids.

At the meeting, Dr. Emma Lundberg presents "What is an atlas and why is it important to build?" in a subgroup aiming to discuss the creation of a multiscale, multidimensional Human Cell Atlas...Read more


NFIL3 a protein that follows the winter season

2017-11-24
Cell Atlas cells Immunofluorescence microscopy

Staining of NFIL3 (green) in nuclear bodies with DNA (blue) and microtubules (red) in A-431 cells.

Staining of NFIL3 (green) in nuclear bodies with DNA (blue) and microtubules (red) in A-431 cells. Many human genes follow a so called circadian clock and research has shown that some of those genes themselves follow the seasons (Dopico et al. 2015). When winter is coming, you sense it and your genes know it too. Expression of one of those genes, NFIL3, peaks during December until February and has its lowest expression during the summer months.

NFIL3 is a transcriptional regulator involved in regulation of immune processes. Like many other transcription regulators it localizes to nuclear bodies as seen on the Cell Atlas images and binds to specific DNA motifs...Read more


Prognostic genes in pancreatic cancer

2017-11-17
Cancer Immunohistochemistry Pancreatic cancer Pathology Atlas TCGA tissue

Figure 1. Immunohistochemical staining of MUC1 shows differential expression pattern, high (left panel) and low (right panel) in

Next in our series of articles on cancer is Pancreatic cancer, a relatively rare cancer associated with very poor prognosis. The vast majority of tumors originate from ductal cells and a small fraction are endocrine tumors. Over 80% of pancreatic cancers develop at ages above 60 years and most tumors are detected at late stages of the disease when the cancer has spread beyond the pancreas.

There is a great need for biomarkers to facilitate early detection and help establishment of diagnosis. Smoking, obesity, physical inactivity and long-lasting inflammation in the pancreas are some of the factors that lead to an increased risk of pancreatic cancer...Read more


Wellness Profiling program presented at the EMBL organised symposium - From Single to Multi-omics

2017-11-10
blood samples Human Protein Atlas SCAPISAffinity proteomics Wellness Wellness project

At the EMBO|EMBL symposia "From Single to Multi-omics: Applications and Challenges in Data Integration" in Heidelberg, Germany, on November 13, Dr Linn Fagerberg presents the talk entitled "Integrative omics profiling within the Swedish SCAPIS SciLifeLab (S3) Wellness Profiling program". The talk focuses on the integration of data retrieved from the analysis of biological samples collected within the SCAPIS project using different technological platforms. On the same day, Dr Fredrik Edfors participates in the poster session with a poster entitled "Gene specific correlation between protein and RNA"...Read more


Proteomic analysis of cell cycle progression reveal mitotic substages

2017-11-02
Affinity proteomics Cell Atlas Cell cycle Immunofluorescence

Examples of spindle phenotypes (Bipole, Collapsed, Multipole and Monopole)

A key feature and a critical first step in understanding cell division and proliferation lies in characterizing the temporal regulation of protein abundance. A collaborative publication "Proteomic analysis of cell cycle progression in asynchronous cultures, including mitotic subphases, using PRIMMUS" was recently published in eLife.

The Cell atlas team from Sweden joined forces with Dr Tony Ly and Professor Angus Lamond from the University of Dundee, to perform a proteome-wide analysis of changes in protein abundance and phosphorylation across the cell cycle...Read more


Plenary lecture at Clinical Proteomics, Postgenome Medicine, Moscow, Russia.

2017-10-27
Conference Human Protein Atlas Omics Pathology Precision medicine Tissue Atlas

Dr Cecilia Lindskog, presents a plenary lecture on October 31 entitled "The Human Protein Atlas - implications for human biology and precision medicine" on the Clinical Proteomics, Postgenome Medicine conference in Moscow, Russia. Dr Lindskog is highlighted as one of the key speakers of the conference.

The 300+ international participants at the conference include medical advisors, scientists and business representatives to bridge translation of research findings to clinical use. The conference opens the fields of "omics" science (genomics, transcriptomics, proteomics, metabolomics) to clinical practioners...Read more


Chan Zuckerberg funds pilot project within the Human Protein Atlas

2017-10-19
Cell Atlas Chan Zucherberg Initiative Human Protein Atlas

The Human Protein Atlas at the Science for Life Laboratory (SciLifeLab) are teaming up with the Chan Zuckerberg Initiative to strengthen research in cell biology and proteomics.

The Chan Zuckerberg Initiative, which was founded by Facebook founder Mark Zuckerberg and his wife, Dr. Priscilla Chan, provides financial and engineering support for the Human Cell Atlas, an ambitious international collaboration that aims to create a reference atlas of all cells in the healthy human body as a resource for studies of health and disease...Read more


650 genes associated with prognosis in Lung Cancer

2017-10-13
Cancer CancerProteomics Immunohistochemistry Lung cancer Pathology Atlas Proteomics TCGA

Figure 1. Immunohistochemical staining of MPC1 using antibody HPA045119 shows differential expression pattern, both high (left panel) and low (right panel), in samples from lung cancer patients.

As part of the release Pathology Atlas release, the Human Protein Atlas will each week present a brief and informative summary highlighting genes with prognostic association in different cancer forms. This week, we will focus on Lung cancer one of the deadliest cancers in the world today.

Lung cancer patients have a poor outcome with a 5-year survival rate of 13.6% in men and 19.4% in women. Late diagnosis and lack of effective treatments are considered to contribute to poor prognosis. Smoking is the leading risk factor and is responsible for 70-90% of the lung cancer cases. Lung cancer can be divided into small cell lung cancer (SCLC) and non-small cell lung cancer (NSCLC)...Read more


Proteomics methods promote understanding autoimmunity in neurodegenerative disorders

2017-10-09
Affinity proteomics blood samples Malaria Multiple Sclerosis narcolepsy Neurodegenerative disorders Plasma Plasma Profilling psychosis

Arash Zandian's doctoral thesis defense at SciLifeLab, KTH

The last decades of technical development and availability of protein and peptide microarrays have enabled large-scale profiling of antibodies and precise determination of their specificities through epitope mapping. This has enabled characterization of the human immune response and the produced antibodies. Beside exploring the auto-antibody repertoire, this approach also identifies key autoantigens targeted by the antibodies in e.g. neurodegenerative disorders...Read more


The HPA at the Image-based Cell Atlas Meeting

2017-10-06
Cell Atlas Chan-Zuckerberg Initiative Image analysis Immunofluorescence microscopy Proteomics

Participants at the Image-based Cell Atlas Meeting 2017

The importance of mapping the human cell has become recognized as one of the key challenges in modern biology. Image-based assays offer a data-rich medium of studying cells and their proteins in situ. As such, several large-scale initiatives for studying cellular biology using image-based assays have been founded in recent years...Read more


Stockholm hosts the HUPO congress 2020

2017-10-05
Conference

We are proud to announce that in 2020, Stockholm will be hosting the world's largest international conference within the area of proteomics: the 19th Annual World Congress of HUPO. The Human Proteome Organization (HUPO) is an international scientific organization representing and promoting proteomics through international cooperation and collaborations by fostering the development of new technologies, techniques and training.

This is the first time the HUPO conference is held in Sweden. In addition to the very interesting science that will be presented, you will also experience one of the most beautiful capitals in the world, Stockholm...Read more


Ovarian Cancer Awareness Month

2017-09-29
Cancer Immunohistochemistry Life Science Ovarian cancer awareness Pathology Atlas Plasma Profilling TCGA tissue

Figure 1. Immunohistochemical staining of EPCAM using antibody CAB055098 shows differential expression, both high (left panel) and low (right panel) in samples from ovarian cancer patients.

In this week's Pathology Atlas blog post, we highlight genes with prognostic association to ovarian cancer , as September is National Ovarian Cancer Awareness Month in the US. Ovarian cancer is the fifth most frequent cause of cancer death in women, and 50% of all ovarian cancers are diagnosed in women older than 65 years of age.

Epithelial ovarian carcinoma is one of the most common gynecologic malignancy. There are five subtypes of epithelial ovarian carcinoma, of which high-grade serous carcinoma is the most common...Read more


Awareness for prostate cancer

2017-09-27
European Prostate Cancer Awareness Day Immunohistochemistry Life Science Pathology Atlas Prostate cancer Prostate Cancer Awareness Month TCGA tissue

Figure 1. Immunohistochemical staining of ODF2 using antibody HPA001874 shows differential expression in samples from prostate cancer patients.

As part of the release of the Pathology Atlas, the Human Protein Atlas Blog presents brief and informative summaries of most cancers, and highlight genes with prognostic association in the different cancer forms. The Pathology Atlas is an open access database which includes quantitative transcriptomics data and spatial proteomics data of the major human cancer types that have been analyzed using a systems level approach.

We focus on prostate cancer in this week's blog post to highlight Prostate Cancer Awareness Month in North America and the European Prostate Cancer Awareness Day on the 27th of September...Read more


Mathias Uhlen honored with the Swedish Research Award 2017

2017-09-21
Elixir Human Protein Atlas Life Science Precision medicin Precision medicine

Research!Sweden foundation

The Swedish Research Award 2017 has been awarded to Professor Mathias Uhlen by the foundation Research!Sweden. On the September 25th Mathias Uhlen will receive the award for research accomplishments regarding mapping of human proteins within the Human Protein Atlas. The mission of the Research!Sweden foundation is to raise awareness regarding the importance of medical research - for health and prosperity by honoring every year one researcher or politician with the award.

Anna Nilsson Vindefjärd general secretary of Research!Sweden motivates the nomination "Mathias Uhlén's research is extremely valuable both for today and future precision medicine...Read more


Human Protein Atlas presentations at the 16th HUPO World Congress

2017-09-14
Affinity proteomics Cell Atlas Conference Human Protein Atlas Immunofluorescence microscopy Immunohistochemistry Sub-cellular structures Tissue Atlas

Next week on the 17th to 21th of September, the human proteome organization (HUPO), is hosting the 16th HUPO World Congress in Dublin, Ireland. Several Human Protein Atlas-associated researchers will attend the meeting and represent the project in various sessions, including plenary and invited lectures, oral presentations and poster sessions.

HUPO is an international scientific organization representing and promoting proteomics through international cooperation and collaborations by fostering the development of new technologies, techniques and training...Read more


Symposium celebrating 100-years anniversary Knut and Alice Wallenberg foundation

2017-09-08
Cell Atlas Conference Human Protein Atlas Immunofluorescence microscopy Project Discovery Subcell Atlas subcellular structures

The Knut and Alice Wallenberg Foundation (KAW) cellebrates 100-years anniversary of funding research within natural sciences, technology and medicine. Since 1917, when KAW was established, grants have been awarded to enpower both scientific research and education beneficial for the society. Today the foundation is one of the largest private funders of scientific research in Europe.

The KAW funded Molecular Life Science - anniversary symposium is organised by the Royal Academy of Sciences together with KTH - The Royal Institute of Technology, Karolinska Institute and Stockholm University...Read more


Focusing on prognostic genes in breast cancer

2017-09-07
Breast Cancer Cancer Cancer Genome Atlas Immunohistochemistry Pathology Atlas TCGA tissue

Figure 1. Immunohistochemical staining of CBX3 using antibody HPA004902 shows a differential nuclear expression in samples from breast cancer patients.

The Pathology Atlas, recently published in Science presents key proteins associated with different cancer types. This week's news article will focus on breast cancer and proteins related to cancer prognosis.

Breast cancer is the most common invasive cancer form in women worldwide. The cancer can roughly be classified as ductal or lobular breast cancer depending on the origin. The majority of breast cancers develop sporadically, but for 5-10% of patients there is an inherited factor associated with increased breast cancer risk, namely the BRCA1 and BRCA2 genes. Women with abnormal BRCA1 or BRCA2 have higher risk of developing breast cancer...Read more


Invited lecture at the 29th European Congress of Pathology

2017-08-30
Conference Diagnostics Human Protein Atlas Life Science Pathology Pathology Atlas

This weekend Amsterdam is hosting the 29th European Congress of Pathology (ECP 2017). Fredrik Ponten, Co-Founder and Clinical Director of the Human Protein Atlas program, will present a lecture on September 3 entitled "Tissue-based map of the human proteome as tool for pathology". The focus of this year´s European congress will be "Pathology for Patient Care" highlighting the added value of the pathology science and discipline in providing care and improving health outcomes for patients and population. The congress is expected to provide updates on all aspects of diagnostic and molecular pathology...Read more


Highlighting the prognostic genes in colon cancer

2017-08-25
Cancer Colorectal cancer Immunohistochemistry Pathology Atlas

Figure 1. Immunohistochemical staining of JDP2 protein using HPA059511 antibody shows a differential expression in samples from colorectal cancer patients.

Last week the Human Protein Atlas portal was updated with a new Pathology Atlas - an interactive atlas where the expression of specific genes and their influence on patient survival in the 17 major cancer types can be explored. The Pathology Atlas includes quantitative genome-wide transcriptomics data (RNA-seq) of the 17 cancers coupled with clinical outcome and spatial proteomics data (immunohistochemistry) of more than 15,000 proteins.

During the next weeks, we will highlight different cancer types included in the analysis and also show examples of genes with unfavourable and favourable prognostic significance. This week's news article features colorectal cancer...Read more


New Pathology Atlas maps the genes involved in cancer and promotes personalized cancer medicine

2017-08-17
Cancer Human Protein Atlas Pathology Atlas

Pathology Atlas principle

A new Pathology Atlas is launched today with an analysis of all human genes in all major cancers showing the consequence of their corresponding protein levels for overall patient survival. The difference in expression patterns of individual cancers observed in the study strongly reinforces the need for personalized cancer treatment based on precision medicine. In addition, the systems level approach used to construct the Pathology Atlas demonstrates the power of "big data" to change how medical research is performed.

The dream of personalized treatment for cancer patients takes a major step forward today with the launch by Swedish researchers of the Human Pathology Atlas...Read more


The Human Protein Atlas selected as European core resource in life science by ELIXIR

2017-08-09
Human Protein Atlas Precision medicine

ELIXIR is an intergovernmental organisation that brings together life science resources from across Europe. These resources include databases, software tools, training materials, cloud storage and supercomputers. The goal of ELIXIR is to coordinate these resources so that they form a single infrastructure. This infrastructure makes it easier for scientists to find and share data, exchange expertise, and agree on best practices. Ultimately, it will help them gain new insights into how living organisms work.

On July 25, 2017, ELIXIR announced the selected list of ELIXIR Core Data Resources...Read more


Crystallins are proteins expressed in the human eye with a long life

2017-07-22
Eye Image of the week Immunocytochemistry Immunohistochemistry Lens proteins Pathology tissue Tissue Atlas

The beta-crystallin B2 protein, encoded by the CRYBB2 gene, is a very important structural component of the human eye lens. Immunohistochemical staining of CRYBB2 protein shows specific expression in the lens.

Previously we have highlighted proteins expressed in the human neural retina. This week's article emphasizes the cellular structure and molecular dynamics of the lens.

The main function of the lens is to focus light on the retina. The passage of light through the cornea, lens and vitreous all the way to the retinal layer of the eye is only possible due to transparency of the tissue. Although the lens is very protein-rich, light absorption and light scattering in the lens is minimal.

The lens comprises non-diving lens cells which are mainly composed of ordered proteins called crystallins...Read more


Keynote lecture at Europe-Korea Conference on Science and Technology

2017-07-15
Drug development Human Protein Atlas

Mathias Uhlen from the Human Protein Atlas will on July the 27 present a keynote lecture on the Europe-Korea Conference on Science and Technology (EKC2017) entitled "The Human Protein Atlas - implications for human biology, drug development and precision medicine"...Read more


TPX2 is a key component in the formation of the mitotic spindle

2017-07-08
Cancer Cell Atlas Cell cycle cells Image of the week Immunofluorescence microscopycancer Kinetochore

Mitotic spindle with TPX2 expression (green)

TPX2 was identified in 1997 as a 100 kDa nuclear protein. In cells TPX2, a is a microtubule nucleation factor that translocates from the nucleus - where it resides during interphase - to the mitotic spindle during mitosis.

The mitotic spindle forms when chromosomes are ready to segregate during cell division and not surprisingly this protein is also found in this specific compartment of the cell! TPX2 is required for the correct formation of the kinetochores that is crucial for the attachment of microtubules, enabling the sister chromatids to be pulled apart. Due to its function TPX2 expression is cell-cycle dependent...Read more


The Human Cell Atlas selected as one of 10 emerging technologies to make a change to society

2017-06-27
Cell Atlas Human Protein Atlas Technologies

This week, Scientific American announced ten emerging technologies with innovations that are on the verge of changing society. One of the technologies selected was the Human Cell Atlas, which aims to integrate research exploring the building-blocks of human cells using new emerging technologies. The list of ten emerging technologies was compiled in a collaboration between Scientific American and the World Economic Forum's Expert Network with suggestions from members of the Expert Network, the forum's Global Future Councils and Scientific American's board of advisers...Read more


GPR17 and oligodendrocytes

2017-06-22
GPR17 Mouse Brain Protein Atlas oligodendrocytes

Staining of GPR17 (green) with DAPI (blue) in oligodendrocytes from thalamic areas of the mouse brain.

The G protein-coupled receptor 17 (GPR17) was first identified in samples extracted from the central nervous system. This protein belongs to the G protein-coupled receptor (GPCR) protein family, whose members serve as important regulators of oligodendrocyte development.

Oligodendrocytes are the cells that mainly provide support and electrically insulate axons in the brain by forming the myelin sheath. During development, these cells progress from oligodendrocyte precursor cells to myelinating mature oligodendrocytes.

GPR17, in particular is an oligodendroglial maturation inhibitor since its stimulation arrests mouse oligodendrocytes at a less differentiated stage...Read more


CYTO2017 Image analysis challenge

2017-06-15
Cell Atlas CYTO2017 Image analysis image challenge

Winner and organizers of the CYTO2017 challenge. From left to right: Carolina Wählby, Devin Sullivan, Peng Qui, Emma Lundberg

We would like to thank all participants of the CYTO2017 Image analysis challenge co-organized by the Cell Atlas team. And congratulate the winner, Dr. Peng Qiu from Georgia Tech, who at the time of the challenge closing had the top solution for both Challenge 2 and Challenge 3.

Though submissions this year were high-quality, and showcased the multitude of approaches to such a challenge, there is still large room for improvements in the results and some sub-challenges remain entirely unsolved. Therefore, we have decided to keep the challenge open for another year! Improvements in downloads and scoring schemes will be made...Read more


Keynote lecture at CYTO2017 in Boston

2017-06-12
Cell Atlas cell lines CYTO2017 Human Protein Atlas Immunofluorescence microscopy Single cell analysis

Emma Lundberg Director of the Human Cell Atlas, will present a keynote lecture on June 14th, entitled ”The Cell Atlas: A subcellular map of the human proteome” on the 32ndCongress of the International Society for Advancement of Cytometry in Boston, USA.

On this occassion, the CYTO Congress together with the Human Protein Atlas have organized a challenge for analysis of the images from the Cell Atlas, culminating in presentation of results in the final conference session, where participants will present their analytical methods and findings...Read more


Expression of genes in mammary glands

2017-06-12
Immunohistochemistry tissue Tissue Atlas

In this week’s post, we will highlight proteins specifically expressed in a tissue with extensive plasticity - the female mammary glands. The evolutionary origin of mammary and milk gland-like structures is believed to date all the way back to 300 million years ago, and glandular secretory apocrine-like units in the skin of synapsids, an ancestor to mammals.

The mammary gland develops from the epidermis and is mainly composed of branched columnar and cuboidal epithelial cells that form distinct lobes...Read more


JAK is not only just another kinase

2017-06-06
Cell Atlas cell lines Immunofluorescence microscopy JAK protein family Nucleus protein kinases

The JAK – or Janus kinases, are intracellular proteins that transduce signals from cytokine receptors via the JAK-STAT pathway. More specifically the JAK family phosphorylates the receptor and thus activates downstream proteins, including transcription factors called STATs (Signal Transducers and Activators of Transcription). These transcription factors then migrate to the nucleus where they regulate transcription of many genes with diverse function, including cell growth, development and differentiation...Read more


NIFK interacts with the proliferation marker Ki-67

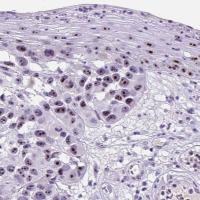
2017-05-24
Cancer Cancer Atlas Image of the month Immunocytochemistry Immunohistochemical staining KI-67 Melanoma Pathology Atlas Skin cancer

Skin with growth of a cutaneous melanoma expressing the protein NIFK.

Melanoma is a common form of cancer in the skin and among skin cancers it is the most deadly form. Melanoma originates from cells of melanocytic origin and most typically begins as a small intraepidermal tumor (melanoma in situ). As the tumor continues to grow and progress, tumor cells invade the epidermis and eventually spread to regional lymph nodes and subsequently via hematogenic spread to distant organs. Tumor thickness of the primary tumor is the most important determining prognostic factor and thus is early discovery of key importance for survival.

The cancer image of the month shows skin with growth of a cutaneous melanoma...Read more


Keynote lecture - 6th Pharmaceutical Science World

2017-05-19
Drug development Human Protein Atlas

  

Mathias Uhlen, Director of the Human Protein Atlas program, will present a keynote lecture on May 23 entitled "Tissue-based protein profiles – implications for human biology, drug development and precision medicine " on the 6th Pharmaceutical Science World Congress (PSWC 2017) in Stockholm, Sweden.

The focus of this year´s world congress will be " Future medicine for one world " including research and development related to systems approaches to drug discovery development and clinical usage...Read more


Cell image analysis challenge at CYTO 2017

2017-05-18

In a time when vast amounts of bioimaging data are produced in labs around the globe every day, effectively extracting salient information from this growing resource is paramount to understanding complex biological questions. In December 2016 the Cell Atlas was released, mapping the subcellular localization of over 12,000 human proteins and counting. As a part of this effort, gamers within EVE online and scientists in the HPA annotated the subcellular localization of each protein. This has created a massive high-quality atlas of microscopy images together with their subcellular protein localization annotations...Read more


A subcellular map of the human proteome

2017-05-12
Cell Atlas Immunocytochemistry Immunofluorescence Organelle Science subcellular structure

30 organelles and substructures are annotated in the Cell Atlas.

The Cell Atlas database was just recently released with data on more than 12.000 proteins and mapping to 30 organelles. Today, the scientific findings are published in Science in "A subcellular map of the humanproteome".

The cell is a complex entity that carries out multiple functions. In order to do this, the different parts of the cells are organized in structures, called organelles. By investigating the organelles and its proteome, and to understand how the proteins vary over time and space we can truly begin to understand human biology on a detailed level...Read more


Pituitary gland links the nervous and the endocrine systems in the human body

2017-05-05
Brain Image of the week Immunohistochemistry Pituitary gland tissue Tissue Atlas

The pituitary gland plays a crucial role in human physiology, and together with the hypothalamus this highly conserved and elegant system form a link between the nervous and endocrine system, by controlling the functions of the thyroid, adrenal glands, and the gonads, and also regulating growth, lactation, and water preservation.

This gland, also called hypophysis, consists of two separate lobes with dual embryonic origin; the anterior (adeno) pituitary gland originates from the oral cavity, and the posterior (neural) pituitary gland develops from the neural plate...Read more


World Malaria Day April 25

2017-04-25
Malaria Tissue Atlas

SLC4A1 in kidney.

This blog post is in honor of World Malaria Day

When infected mosquitos bite people they transmit parasites that causes malaria. Symptoms of malaria include fever and flu-like illness, and if left untreated the illness will cause anemia (loss of red blood cells) and eventually death.

According to WHO, malaria caused 429 000 deaths in 2015, and 70% of the deaths are children under the age of 5. Luckily, mortality rates are falling, and since 2010 the mortality has dropped with almost 1/3. Early diagnosis and treatment of malaria reduces deaths and prevents transmission. There are antimalaria drugs available, but currently, there is no availabe malaria vaccine...Read more


TACO1 an ubiquitous protein governing expression of the mitochondrial genome

2017-04-21
Cell Atlas cells Image of the week Immunofluorescence microscopy Mitochondria Mitochondrial disorders

Antibody HPA021643 in U-2 OS recognizing TACO1 in mitochondria.

Mitochondria harbors an own genome that renders key proteins involved in production of energy through oxidation of various substrates. Majority of the disorders associated with mitochondrial function are caused by impaired expression of the proteins encoded in the mitochondrial genome. One of these proteins is the translational activator of cytochrome c oxidase 1 (TACO1).

Experimental results reveal that TACO1 is expressed in all tissues within the human body. The protein is detected mainly in the cytoplasm and more precise inside mitochondria. Explore expression and subcellular localization of TACO1 in the Cell Atlas...Read more


Epitope mapping and development of therapeutic antibodies

2017-04-11
Affinity proteomics Antibody Antibody Microarray cells Epitope mapping Human Protein Atlas Life Science

Johan Rockberg

Within the Human Protein Atlas project, antibodies are used to study the localization of protein in human tissues and cells. To generate the antibodies recombinant expression clones are produced from human RNA pools by cDNA synthesis, cloning and plasmid purification. These clones produce what is called Protein Epitope Signature Tags (PrESTs), a selected part of the target protein that should be recognized by antibodies.

Johan Rockberg, Associate Professor in antibody technology and directed evolution at KTH - Royal Institute of Technology in Stockholm, Sweden is the group leader for the epitope mapping and therapeutic antibodies group within the Human Protein Atlas...Read more


AACR Annual Meeting 2017

2017-04-04
Cancer Conference Immunohistochemistry Pathology Atlas tissue

Cecilia Lindskog and Borbala Katona in the booth

A team from the Human Protein Atlas is attending the AACR Annual Meeting 2017 in Washington DC right now. This year, the meeting covers topics on research propelling cancer prevention and cures. The Human Protein Atlas is represented by a booth where researchers give a personalized tutorial of the portal to interested visitors. In addition, a demo version of a new Pathology Atlas containing information on prognostic genes and proteins associated with clinical outcome. The Pathology Atlas focuses on 17 major cancer types in humans...Read more


CD44 as a marker of renal cancer

2017-03-31
Cancer Image of the week Immunohistochemistry Pathology Atlas Renal Cell Carcinoma

Renal cell cancer is a relatively common form of human cancer. Tumors develop in the kidney and have a tendency to grow into renal veins and metastasize to distant organs without the spread to regional lymph nodes as is common for many other tumor types.

This particular case shows a papillary form of renal cell cancer that grows with papillary excrescences into cyst formations and with areas of necrosis. The tumor has been stained with an antibody (HPA005785) that recognizes the CD44 protein.

CD44 is a cell-surface glycoprotein and a receptor for hyaluronic acid that is involved in cell-cell interactions, cell adhesion and migration...Read more


Tissue Atlas: microscopy and annotation

2017-03-28
Annotation Immunocytochemistry Microscopy Tissue Atlas

Borbala Katona at the microscope

Today, we are back in the Tissue Atlas facilities at the Rudbeck lab in Uppsala. Borbala Katona and Maria Aronsson are research engineers in the group working with microscopy and annotation of stained tissues, which we described last week.

Borbala Katona has a bachelors degree in biomedicine and a masters degree in infectious medicine and has been working within the Human Protein Atlas since 2014.

Maria Aronsson has a masters degree in medical biology from Linköping University and joined the Human Protein Atlas in 2012...Read more


The Retina and the proteins expressed within

2017-03-24
Immunohistochemistry tissue Tissue Atlas

Immunohistochemical staining of human neural retina. The brown color represents the presence of proteins found in rods and cones. A, GNGT1 is a rod protein and B, RP1 is expressed in cone cells.

More than a century ago, Piccolino M. Cajal published his groundbreaking work on the retina. At that time, Cajal was eager to confirm previous observations he had made in other neural tissues, and he considered the retina very suitable to study due to its simple organization and structure.

The human retina is a multilayered neural tissue that originates from the developing brain, and populates the innermost layer of the eye, called the inner photosensitive layer. The retina is composed of polarized photosensitive neurons called rods and cones...Read more


Tissue Atlas: production and staining

2017-03-21
Antibody Immunocytochemistry Tissue Atlas

Today, we start a "mini-series" about our Tissue Atlas here at the blog. Join us on a tour through the lab, meet some of the people working there, and see some really nice images produced by the scientists.

All the work on our Tissue Atlas is done at our Uppsala site, with Cecilia Lindskog as site director. You can learn all about her in one of our previous blog posts.

First we meet research engineer IngMarie Olsson who is group leader for the Tissue Microarray Production, Immunohistochemistry, and Scanning-group...Read more


New treatment attacking liver disease and diabetes

2017-03-14
Liver Metabolic networks

Researchers from the Human Protein Atlas are planning a clinical trial of a new treatment for nonalcoholic fatty liver disease and type 2 diabetes which harnesses liver cells own ability to burn accumulated fats.

In a study involving 86 patients with varying degrees of fatty liver disease, researchers found that the liver has the ability to burn up accumulated fats. The researchers propose a mixture of substances that will set this process in motion.

Assistant Professor Adil Mardinoglu says the team´s metabolic modeling approach, which relied on data from the Human Protein Atlas project, can be used for a number of chronic liver diseases...Read more


TNFRSF14 in Rods and Rings

2017-03-10
Rods and Rings

Figure 1. Co-staining of TNFRSF14 (green) with a Rods & Rings marker protein (red) and DAPI (blue) in U-2 OS cells. Overlapping regions appear yellow.

This week we highlight a new structure in the Cell Atlas available in version 16 thanks to the annotations done by citizen scientists in Project Discovery, a mini game within EVE Online. Rods & Rings.

As the name describes, these unique structures that form large rod and ring type aggregates in the cytoplasm that look a bit like sprinkles. Little is known about this structure and the proteins that are involved in it. In fact, it wasn't until 2011 when the term "Rods & Rings" was coined (Seeling HP et al. 2011,Carcamo WC et al. 2011)...Read more


Collaboration to produce all secreted proteins

2017-03-07
Cell factory Secretome

A new research program has been started to produce all the human secreted proteins in mammalian cell factories. The program aims to facilitate studies of this important class of proteins involved in many human diseases.

The human secreted proteins, sometimes called the "secretome", consist of approximately 3000 proteins, which are produced inside our cells and then often transported out to the blood. This class of proteins is important in many central processes in humans, including bacterial and viral defense, inflammation, cell signaling and transport of nutrients...Read more


Image of the week from the Cancer Atlas

2017-03-03
Cancer Atlas Image of the week Immunocytochemistry Lung cancer

Today, it is time for the first image of the week from the Cancer Atlas!

Lung cancer is one of the deadliest and most common forms of human cancer. Different forms of lung cancer exist and non-small cell lung cancer is the most common form. The cancer image this week is selected from such a lung cancer that has been immunohistochemically stained for the proliferation marker Ki-67 (MKI67). Ki-67 is the most commonly used immunohistochemical marker in rutin cancer diagnostics. The Ki-67 antigen is expressed in all cell nuclei that are active in the cell cycle and thus positive staining in a tumor cell population reflects the level of proliferation in that particular cancer...Read more


They are best at translating research to market

2017-02-28
Affinity proteomics Antibody

This month, the online magazine Labiotech.eu writes about scientists who translates science from academia to the market. While there are a many academic entrepreneurial superstars in the US, Labiotech.eu points out that there are also some academic researchers in Europe that have been successful in taking their findings into the biotech industry and lists ten individuals in Europe who have been successful at co-founding biotech companies.

Out of these ten persons, no less than three have connections to Sweden. Emanuelle Charpentier, co-discoverer of CRISPR, did some of her findings at Umeå University...Read more


Cell Image of the Month – MCM6

2017-02-24
Cell Atlas Image of the week Immunofluorescence Lactase

In 2017, February 28th will be the day that in Sweden is known as "Fettisdagen", (lit. "Fat Tuesday"), in other countries known as "Mardi Gras", "Faschingsdienstag" or "Shrove Tuesday". This day was originally celebrated in the Christian tradition as the last day of a three day feast to prepare for the forty day long fasting period before Easter. Today it has been popularized and in many places around the world this day is now known for its carnivals.

In Sweden together with some other northern European countries we like to eat "semlor" on Fat Tuesday...Read more


Structural epitope mapping for precision medicine

2017-02-21
Epitope mapping

Anna-Luisa Volk, PhD student and first author of the study

The term precision medicine describes the idea of providing effective treatment based on a patient´s molecular make up.

Eculizumab is used to treat patients with paroxysmal nocturnal hemoglobinuria (PNH) and atypical haemolytic uremic syndrome (aHUS). However, eculizumab is a very expensive drug, and the treatment is not efficient for all patients...Read more


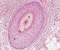
Tissue Image of the Month - Hairs and follicles

2017-02-17
Follicles Hair Image of the week Tissue Atlas

A hair and hair follicle stained with H&E showing the different layers: a) external root sheath, b) internal root sheath, c) cuticle layer, d) medulla and e) cortex.

Hello everyone!

Tissue Atlas group is pleased to announce the launch of the Tissue Image of the Month. Previously, you have had the joy of experiencing interesting images of cellular organelles and proteins described by the Cell Atlas. Now we also hope that you will follow the blog posts and pictures of stained tissues with the same excitement and curiosity, as we dive into the world of histology, immunohistochemistry, cells and tissues.

First up - hairs and hair follicles.

Hair fibers consist of cells called trichocytes. The fibers vary in size, disposition and color due to factors such as age, sex, ethnicity and region of the body...Read more


Transcriptomics data from FANTOM program

2017-02-13
RNA RNA-seq Transcriptome Transcriptomics

Overview of the tissues and organs analysed by HPA, FANTOM and GTEx

In the latest version of the Human Protein Atlas, released in December 2016, the tissue atlas data is complemented with RNA-data from The Functional Annotation of Mammalian Genomes 5 (FANTOM5) project in RIKEN, Japan. The FANTOM data greatly overlaps with the Human Protein Atlas data, strengthening the results from both the projects.

The human genome consists of DNA which is transcribed into functional protein-coding transcripts (mRNA) and in turn is translated into proteins, the functional building-blocks of the cell. The entirety of mRNA molecules in a cell or tissue is called the "transcriptome"...Read more


Meet the site director

2017-02-07
Antibody Human Protein Atlas Secretome

Hanna Tegel

Today we meet Hanna Tegel, site director at the AlbaNova site of the Human Protein Atlas, and group leader of the Antigen and Antibody Factory group. She has been with the Human Protein Atlas from the very beginning, and her career has evolved alongside the project.

– I took my M.Sc. in biotechnology at KTH – the Royal Institute of Technology here in Stockholm, and in the end of my education I complemented it with some physiology at the Karolinska Institute. As a part of this course I did a project at KTH, and when it was time for me to do my masters thesis I turned to the same professor. Now he was involved in the start-up of the Human Protein Atlas project...Read more


Validation of antibodies for bioimaging

2017-01-31
Antibody Antibody Validation Bioimaging Immunofluorescence

Marie Skogs, first author of the study

In a recent publication in Journal of Proteome Research, researchers from the Cell Profiling group of the Human Protein Atlas team present a new approach for validation of antibodies for bioimaging applications.

Antibodies are indispensible research tools, yet the scientific community has not adopted standardized procedures to validate their specificity. Here the researchers present a strategy to systematically validate antibodies for immunofluorescence applications using gene tagging.

Marie Skogs is the first author of the study.

– After a M. Sc...Read more


Cancer biomarkers identified

2017-01-23
Biomarkers Breast Cancer Cancer Immunocytochemistry Renal Cell Carcinoma

Gabriela Gremel, involved in both studies on cancer biomarkers

In two recent publications the group of Fredrik Pontén in Uppsala has identified two very strong, independent biomarkers for the prognostic stratification of breast cancer and renal cell carcinoma.

Renal cell carcinoma is the most common type of cancer affecting the kidney and there is an unmet clinical need for better prognostic and diagnostic tools for it. Diagnosis and subtyping of renal cell carcinoma are achieved through the morphological analysis of tumor sections. The application of immunohistochemistry can reveal important additional clues during the diagnostic work-up...Read more


Wellness profiling for early detection of disease

2017-01-17
Affinity proteomics Biobank profiling Biomarkers

www.inasakvareller.se

During the Precision Medicine World Conference in Silicon Valley on January 23-25, Mathias Uhlen, leader of the Human Protein Atlas will give a talk about the recently initiated SCAPIS – SciLifeLab Wellness Profiling project.

The Precision Medicine World Conference is a conference series that attracts recognized leaders, top global researchers and medical professionals, and innovators across healthcare and biotechnology sectors to showcase practical content that helps close the knowledge gap between different sectors, thereby catalyzing cross-functional fertilization and collaboration...Read more


The human adrenal gland proteome defined

2017-01-11
Adrenal gland Immunocytochemistry Proteome RNA-seq

The adrenal glands are small endocrine glands located right on top of the kidneys. Each gland has two parts, the adrenal cortex and the adrenal medulla.

In a recent publication in Endocrinology, researchers from the Human Protein Atlas have performed a comprehensive analysis of the gene expression landscape of the adrenal glands to define genes with different degrees of "specific" expression compared to 31 other normal human organs and tissue types. The analysis showed that only 253 genes (approximately 1% of all putative protein coding genes) showed some level of adrenal gland specific expression pattern.

The adrenal gland is a composite endocrine organ with vital functions that include the synthesis and release of glucocorticoids and catecholamines...Read more


Blog archive

2026
2025
2024
2023
2022
2021
2020
2019
2018
2017 (57)
2016 (76)
2015 (13)