THE HUMAN PROTEIN ATLAS BLOG

Aquaporin 9 expression in human tissue

2016-05-10
Hepatocellular Carcinoma Human Protein Atlas Liver Tissue Atlas


Protein expression of aquaporin 9 in normal tissues

In a very recent paper in Journal of Histochemistry and Cytochemistry , with researchers from the Human Protein Atlas, it is shown that the expression of aquaporin 9 is limited in normal tissues, and high membranous expression is observed only in hepatocytes.

Aquaporin 9 is known to facilitate hepatocyte glycerol uptake. Murine aquaporin 9 protein expression has been verified in liver, skin, epididymis, epidermis and neuronal cells using knockout mice.

One goal of the current study was to systematically explore the distribution of aquaporin 9 expression in humans. For this purpose, the authors used a previously well-characterized antibody for studying aquaporin 9 expression within the Human Protein Atlas project tissue repository, including a large spectrum of normal and cancer tissues as well as cell lines and primary cells.

The researchers, including Dr. Cecilia Lindskog from the Human Protein Atlas and colleagues, analyzed aquaporin 9 protein expression using immunohistochemistry on a large set of normal tissues, cancer tissues and cell lines assembled into tissue and cell microarrays.

The proteomics analysis was complemented with transcriptomic profiling using deep sequencing (RNA-seq) on 32 out of the 44 normal organs, as well as 44 out of the 46 analyzed cell lines.

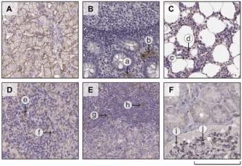
Out of the 44 investigated normal human tissues, the researchers were able to confidently confirm aquaporin 9 expression only in human liver.

Expression of aquaporin 9 protein in cancer tissues was explored in 216 patient samples representing 20 common cancer types. In liver cancer, medium to high membranous expression of aquaporin 9 was observed in five out of eight analyzed hepatocellular carcinomas whereas the remaining three hepatocellular carcinomas displayed low expression.

Overall, the researchers conclude that aquaporin 9 expression in human tissues appears to be more selective than in mice. Aquaporin 9 has previously been considered as a potential drug target in type 2 diabetes, and the observed tissue-specific expression may be beneficial for drug development from a safety perspective.

Read the whole story in the Journal of Histochemistry and Cytochemistry.

Explore aquaporin 9 in the Human Protein Atlas



Blog archive

2025
2024
2023
2022
2021
2020
2019
2018
2017 (57)
2016 (76)
2015 (13)