THE HUMAN PROTEIN ATLAS BLOG

The Retina and the proteins expressed within

2017-03-24
Immunohistochemistry tissue Tissue Atlas


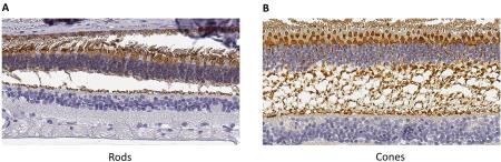
Immunohistochemical staining of human neural retina. The brown color represents the presence of proteins found in rods and cones. A, GNGT1 is a rod protein and B, RP1 is expressed in cone cells.

More than a century ago, Piccolino M. Cajal published his groundbreaking work on the retina. At that time, Cajal was eager to confirm previous observations he had made in other neural tissues, and he considered the retina very suitable to study due to its simple organization and structure.

The human retina is a multilayered neural tissue that originates from the developing brain, and populates the innermost layer of the eye, called the inner photosensitive layer. The retina is composed of polarized photosensitive neurons called rods and cones. Rods are extremely light sensitive, and allow us to see in low light conditions, while cones register light at different regions of the visible spectrum, and give us the ability to see colors - red, green and blue. Therefore, seeing color is quite the challenge during the night because rods do not discriminate between wavelength modulations.

As light enters the eye through the pupil and gets refracted by the lens, it reaches the neural retina where it is absorbed. The photoreceptor cells transduce the light into electrical nerve signals that are transmitted from the photoreceptors to connecting bipolar neurons, which relay the signal to ganglion cells. The ganglion cell axons are collected to form the optical nerve and the information is sent to the brain.

The gene GNGT1 encodes a transducin G-protein that localize to the outer segments of the rods (Figure A) and plays an important role in the cell signaling in the rods.

The retinitis pigmentosa 1 protein, encoded by the RP1 gene, is another very important retinal protein found mainly in cone cells (Figure B). The protein is responsible for organizing the photosensitive parts of the cone cells. Mutations in the RP1 gene cause Retinis Pigmentosa, a disorder where the retina degenerates - meaning a continuous destruction of the retinal cells. Formation of pigment clumps at the bottom of the eye is also a common finding and ultimately, overall vision is heavily compromised and affected individuals might lose sight entirely.

Besides these two proteins mentioned above, we have listed and analyzed another 41 retinal proteins, and 10 eye proteins, which you can access freely from here.

References

Blanton SH et al. Linkage mapping of autosomal dominant retinitis pigmentosa (RP1) to the pericentric region of human chromosome 8. Genomics. 1991 Dec;11(4):857-69, DOI:10.1016/0888-7543(91)90008-3
Piccolino M. Cajal and the retina: a 100-year retrospective.Trends Neurosci. 1988 Dec;11(12):521-5, DOI: 10.1016/0166-2236(88)90175-0
Scherer SW et al. Gene structure and chromosome localization to 7q21.3 of the human rod photoreceptor transducin gamma-subunit gene (GNGT1). Genomics. 1996 Jul 1;35(1):241-3, DOI: 10.1006/geno.1996.0346
Wässle H. Parallel processing in the mammalian retina. Nat Rev Neurosci. 2004;5(10):747-57, DOI: 10.1038/nrn1497


Feria Hikmet Noraddin



Blog archive

2025
2024
2023
2022
2021
2020
2019
2018
2017 (57)
2016 (76)
2015 (13)