THE HUMAN PROTEIN ATLAS BLOG

650 genes associated with prognosis in Lung Cancer

2017-10-13
Cancer CancerProteomics Immunohistochemistry Lung cancer Pathology Atlas Proteomics TCGA

Figure 1. Immunohistochemical staining of MPC1 using antibody HPA045119 shows differential expression pattern, both high (left panel) and low (right panel), in samples from lung cancer patients.

As part of the release Pathology Atlas release, the Human Protein Atlas will each week present a brief and informative summary highlighting genes with prognostic association in different cancer forms. This week, we will focus on Lung cancer one of the deadliest cancers in the world today.

Lung cancer patients have a poor outcome with a 5-year survival rate of 13.6% in men and 19.4% in women. Late diagnosis and lack of effective treatments are considered to contribute to poor prognosis. Smoking is the leading risk factor and is responsible for 70-90% of the lung cancer cases. Lung cancer can be divided into small cell lung cancer (SCLC) and non-small cell lung cancer (NSCLC)...Read more


Image of the week from the Cancer Atlas

2017-03-03
Cancer Atlas Image of the week Immunocytochemistry Lung cancer

Today, it is time for the first image of the week from the Cancer Atlas!

Lung cancer is one of the deadliest and most common forms of human cancer. Different forms of lung cancer exist and non-small cell lung cancer is the most common form. The cancer image this week is selected from such a lung cancer that has been immunohistochemically stained for the proliferation marker Ki-67 (MKI67). Ki-67 is the most commonly used immunohistochemical marker in rutin cancer diagnostics. The Ki-67 antigen is expressed in all cell nuclei that are active in the cell cycle and thus positive staining in a tumor cell population reflects the level of proliferation in that particular cancer...Read more


Prognostic impact of COX-2 in lung cancer

2015-11-17
Cancer COX-2 Lung cancer Microarray Tissue Atlas

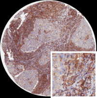
COX-2 expression in stroma

In a study performed by scientists at Uppsala University, in collaboration with Gothenburg University and the Human Protein Atlas project, the expression of cyclooxygenase-2 (COX-2) was evaluated in patients with non-small cell lung cancer (NSCLC).

To clarify previous inconsistences concerning the prognostic impact of COX-2 expression in NSCLC, the association between COX-2 transcript levels (encoded by the gene PTGS2) and overall survival in nine publicly available gene expression microarray data sets were evaluated as well as the in situ protein expression of COX-2 in tumor and stromal cells in two independent NSCLC cohorts...Read more


Blog archive

2026
2025
2024
2023
2022
2021
2020
2019
2018
2017 (57)
2016 (76)
2015 (13)